Aphthen, wenn es zu kleinen, entzündeten Stellen in Mund und auf der Zunge kommt.

Erfahrungs Berichte
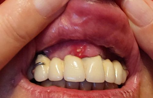
Bei Aphthen handelt es sich um häufig auftretende, schmerzhafte Schädigungen der Schleimhaut, die von einem entzündlichen Randsaum umgeben sind. Aphthen erscheinen meist gehäuft als weiß-rötliche, entzündete Stellen an der Mundschleimhaut. Aphthen treten meist wiederkehrend auf.
Von Aphthen geht keine Gefahr aus.
Aphthen heilen in den meisten Fällen von alleine. Eine ärztliche Behandlung ist nicht notwendig.
Heilen die Aphthen jedoch nicht nach spätestes zwei Wochen aus, oder es kommt in kurzen Abständen gehäuft zu Aphthen, solltest Du einen HNO-Arzt aufsuchen.
Gleiches gilt, wenn neben den Aphthen weitere Anzeichen wie Mundgeruch oder Lymphknotenschwellungen entstehen.
Aphthen erscheinen meist als kleine, rundlich, weiße Stellen an der Innenseite der Lippe oder Wangen. Zunge oder Gaumen sind eher selten betroffen.
Aphten sind leicht eingesunken und haben einen rötlichen Rand.
Bei Aphthen können begleitend zur Heilung Schmerzmittel angewandt werden. Meist kommen Salben, Gele oder Spülungen mit dem Wirkstoff Lidocain zum Einsatz.
Zudem können pflanzliche Mittel (Kamille oder Salbei) zur ergänzenden Heilung eingesetzt werden.
Generell ist auf eine gute Mundhygiene zu achten.
Komplikationen sind bei Aphthen nur selten zu erwarten.
In schweren Fällen begünstigen Aphthen die Entstehung bakterieller Entzündungen im Mundraum.
Aphthen heilen in der Regel nach wenigen Tagen bis maximal 2 -3 Wochen vollständig aus.
Aphthen sind nicht ansteckend.
Kinder sind durch häufig mechanische Reizung der Mundschleimhaut oft von Aphthen betroffen. Ebenso wie bei Erwachsenen stellen Aphten bei Kindern keine Gefahr dar und werden gleichermaßen behandelt.
Deine Erfahrung zählt!
Du kannst Anderen helfen, indem Du Deine Erfahrung zum Thema Aphthen mit anderen Menschen teilst.
Völlig anonym.
Du bist Mediziner und möchtest Dein Wissen zum Thema Aphthen teilen?
Hilf uns, unsere Qualität stetig zu verbessern.